ÈÈËѹؼü´Ê£º µ°¼¦ËÇÁÏÌí¼Ó¼Á³§¼Ò ÉúÎïËÇÁÏÌí¼Ó¼Á Ìí¼Ó¼ÁËÇÁÏ ËÇÁÏÌí¼Ó¼Á³§¼Ò
½üÄêÀ´£¬Ë®²úÑøÖ³¡°Ô½¶¬×ÛºÏÖ¢¡±¸øÐÐÒµ´øÀ´¼«´óµÄËðʧ¡£¾¿ÆäÔÒò£¬´óÌåÉ϶¼¸úÔ½¶¬Ç°µÄÓªÑø±£½¡ºÍË®ÖʹÜÀíÓÐÖ±½ÓµÄ¹ØÏµ¡£

ÿÄê´º½ÚÒ»¹ý£¬Ëæ×Å´ºÌìµÄµ½À´£¬Ë®ÎÂÒ²¿ªÊ¼Öð½¥»ØÉý£¬Ô½¶¬ºóµÄË®²ú¶¯ÎïÒ²ÂýÂý¿ªÊ¼³ÔÁÏ£¬µ«´ËʱÏû»¯Ã¸µÄ»îÁ¦»¹±È½ÏµÍ£¬Ïû»¯ÄÜÁ¦½ÏÈõ£¬ÇмɴóÁ¿Í¶Î¹¡£ÓÉÓÚÑøÖ³ÓãÀàÔÚÔ½¶¬ÆÚ¼¸ºõ²»Éãʳ£¬ÖÂʹÆäÃâÒßÁ¦Ï½µ£¬¿¹Ó¦¼¤ÄÜÁ¦²î¡£
bifa88¹ÙÍøÑо¿ÔºË®²ú¼¼ÊõÖÐÐÄÇ¿ÁÒ½¨Òé¹ã´ó¿Í»§Ñ¡ÓøߵµÓÅÖÊËÇÁÏͶ飬ÓÐÀûÓÚ³¦µÀµÄ¿ìËÙÎüÊÕ¡£
2025Ä꣬bifa88¹ÙÍøÑо¿Ôº¸ù¾Ý²»Í¬ÑøÖ³Æ·ÖÖ¾«ÐÄÉè¼ÆºÍÑз¢³ö¶àÖÖË®²úרÓø´ºÏ΢Á¿ÔªËØÔ¤»ìÁÏ£¬Åä·½¿ÆÑ§£¬¸»º¬¶àÖÖ¸ßЧ¼ÛµÄÓлú΢Á¿ÔªËØ£¬ÎüÊÕÀûÓÃÂʸߣ¬Äܳä·ÖÂú×ã¸÷ÖÖË®²ú¶¯ÎïÔÚ²»Í¬ÑøÖ³Ä£Ê½Ï¶Ô΢Á¿ÔªËصÄÐèÇó¡£´Ù½øÉú³¤¡¢ÔöÇ¿¿¹Ó¦¼¤ºÍ¿¹²¡ÄÜÁ¦£¬²¢ÄÜÆðµ½¸ÄÉÆÌåÐͺÍÈâÖʵÄ×÷Óá£
bifa88¹ÙÍøÑо¿Ôº£¨2022£©Ñо¿±íÃ÷£ºbifa88¹ÙÍø¸Ê°±ËáÌú¸üÓÐÀûÓÚ¸ÄÉÆöÔÓ㳦µÀ·¢Óý£¬´Ù½ø³¦ÉÏÆ¤Ï¸°ûÔöÉú£¬ÐÞ¸´³¦µÀճĤ×éÖ¯¡£
½«¸÷×éÑù°´±ÈÀýÅäºÃ£¬×°ÈëÒ»²ã×Ô·â´üÄÚ£¬·â¿Ú¡£·ÅÖÃÓÚºãκãʪÅàÑøÏäÖУ¬Î¶È30¡æ£¬Êª¶È80%¡£±£´æ30Ì죬ËÍÑù¼ì²âµÚ1Ìì¡¢µÚ30Ìì¸÷×éÑùÆ·ÖÐάÉúËØAµÄº¬Á¿¡£

¡ø
bifa88¹ÙÍøÑо¿ÔºÍ¨¹ýÊý×é¶ÔÕÕʵÑéµÃ³ö
¸Ê°±ËáÌúÎȶ¨ÐÔ¸üºÃ
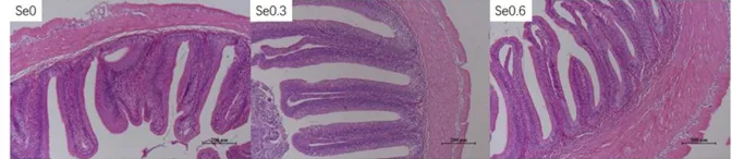
¾¹ýÔ½¶¬ºóµÄ²ÝÓ㼫Ò׳öÏÖ³¦ÈÞë½á¹¹ÎÉÂÒ¡¢Î®Ëõ¡¢Õ³Á¬µÈ²¡ÀíÏÖÏ󣬲¿·Ö¼¡²ãºÍ½¬Ä¤²ãȱË𣨼ûÏÂͼSe0£©¡£ÔÚËÇÁÏÖÐÌí¼Ó0.3-0.6mg/kgÄÉÃ×Îø£¨ÒÔSe¼Æ£©ÄÜÏÔÖøÌá¸ß³¦ÈÞë¸ß¶È£¬¸ÄÉÆ³¦µÀ½¡¿µ×´¿ö£¨¼ûÏÂͼSe0.3ºÍSe0.6£©¡£
Limin YeµÈ£¨2023£©
bifa88¹ÙÍøÄ¦Á¦ÎøÎªbifa88¹ÙÍøÑо¿Ôº×ÔÖ÷ÑÐÖÆµÄÄÉÃ×Îø£¬ÎªÁã¼Û̬¡¢ÄÉÃ×¼¶£¨Î¢Á£¡Ü60nm£©µÄµ¥ÖÊÎø¡£ÒÔ¸ßÎȶ¨ÐÔÓлúÎï½øÐаüÂñ£¬Íâ¹ÛΪÂÔÏÔºìÉ«µÄ¹ÌÌå·ÛÄ©£¬Á÷¶¯ÐԺã¬Ò×»ìºÏ£¬Ò×¼ø¶¨¡¢Ò×¼ì²â£¬°²È«·¶Î§¿í¡£
ĦÁ¦ÎøSEM-EDSÁ£¾¶²âÊÔ£ºÄ¦Á¦Îø0.3%³ÉÆ·ÔÚ͸Éäµç¾µÏ¹۲ìÁ£¾¶´óС£º28.1nm¡¢33.6nm¡¢32.9nm¡¢45.9nm¡£Á£¾¶¾ùÔÚ60nmÒÔÄÚ¡£
¡ø0.3%ĦÁ¦ÎøÔÚÅäºÏËÇÁÏÖеÄÌí¼ÓÁ¿Îª100-167¿Ë ¡ø
ÄܸüºÃµØ°ïÖúË®²ú¶¯Îï¿ìËÙÔöÇ¿¿¹Ñõ»¯ÄÜÁ¦£¬µÖ¿¹ÒòÌìÆø±ä»¯ºÍË®Öʶñ±äµÈÔÒòÒýÆðµÄ¸÷ÖÖÓ¦¼¤¡£
ͬʱ£¬»¹¾ßÓдٽøÉú³¤¡¢ÔöÇ¿ÃâÒß¡¢´Ù½øÖ¬ÖÊ´úлºÍ¸ÄÉÆÌåÐ͵ȹ¦Ð§¡£
ΪÈËÀàÌṩ °²È«½¡¿µ µÄÉúÃüÔªËØ
¡¾±¾ÎıêÇ©¡¿ ĦÁ¦Îø ÑøÖ³ Ô½¶¬×ÛºÏÖ¢ ÓãÏºÑøÖ³ Ë®²úÑøÖ³
¡¾ÔðÈα༡¿
΢ÐÅ×Éѯ
ÁªÏµµç»°
²É¹º²¿
Õ¹»áºÏ×÷
¹ú¼ÊÒµÎñ